



我一直惦记着这个患者这个病变的来由。当临床送来个肿大的淋巴结时,病理医生首先要分出来是肿瘤还是炎症。淋巴结肿瘤无非是两大类:淋巴瘤或是转移癌。这个淋巴结内绝大部分成分给人的感觉是疏松的软组织。显然不是淋巴瘤也不是转移癌。那么是不是炎症?是什么炎症?这就值得推敲了。从病史来看,首先要排除结核和红斑狼疮在淋巴结上的改变。
结核仅从组织学改变就很不符合。每个病理医生都会诊断结核,就是因为在组织学上结核有着特异的改变。诊断标准就是结核性肉芽肿----结核结节。在这个结节中央可以看到干酪样坏死组织,围绕着干酪样坏死周围是较多的上皮细胞,还可以看到朗罕氏多核巨细胞。还有大量的淋巴细胞浸润其中。结核病变毕竟是一种破坏性很强的病变,所以,在病变中给人的感觉是脏兮兮,乱哄哄的感觉。可是,现在对病理医生来说。能诊断出结核绝非易事!近年来发现,结核的病理改变越来越不典型了,变得越来越不敢相认了。有的时候,结核病变中仅有上皮样细胞,甚至有中性粒细胞的浸润。我还在著名的淋巴瘤专家周晓鸽出示的一个淋巴结结核病例里看到了类似淋巴瘤般地大量免疫母细胞的增生,这样诊断结核时还要与淋巴瘤进行鉴别。这么多的不典型,实在不好诊断结核呀!现在比较公认的做法是进行抗酸染色,在不典型病变中找到了抗酸染色阳性结核杆菌,就能确诊结核了。现在病理医生们认为抗酸染色是诊断结核的金标准。
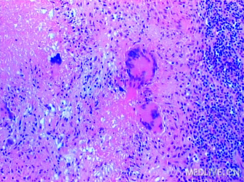
典型的结核结节,中央有多少不等的干酪样坏死,外面围绕着上皮样细胞。可见朗罕氏多核巨细胞。外围大量的淋巴细胞
但是,引起我高度关注的这个淋巴结不仅没有结核病时的结核结节,就连个上皮样细胞的影子都没有,也不是普通的一般炎症反应。虽然两年以前患者被诊断过右肘部淋巴结核,但是,现在右颈部肿大的淋巴结肯定不是结核病变。
患者有十六年的红斑狼疮病史,这个淋巴结会不会是红斑狼疮时淋巴结的改变?我们医院有一个风湿病分院,偶尔会看到红斑狼疮淋巴结肿大的病理标本。这个奇怪的淋巴结就是风湿病分院送来的。红斑狼疮时肿大的淋巴结没有特异性的改变。淋巴结中一般有淋巴滤泡和小血管的增生,散在的免疫母细胞、浆细胞浸润。浆细胞内可见卢梭小体。偶可见到血管及淋巴窦内有淋巴细胞核碎裂后的DNA沉积(苏木素)。有的病例可见灶性坏死,类似组织细胞性坏死性淋巴结炎。这个引起我极大兴趣的淋巴结的改变显然不符合红斑狼疮时淋巴结肿大的表现。

