淋巴疾病



罕见淋巴结病例!

罕见淋巴结病例!
商品概述:罕见淋巴结病例!有祖传秘方治疗
产品说明
这天下午将要下班的时候,我看完当天所有要看的切片,写完了该写的病理报告,感觉到兴趣索然。今天的病理切片太稀松平常了,没有什么疑难的,也就没有了兴奋点。我不由地伸了个懒腰,无精打采地正要把心爱的显微镜电源关掉罩好的时候,同事李医生递给我一个切片:“你看看这个,你感兴趣的淋巴结的,很奇怪的呀!”这是她的一个病例。
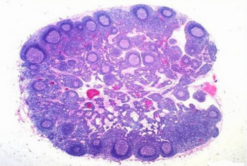
说实在的,这几年参加了市里省里的淋巴瘤协作组的活动,使我这个基层医院的病理医生对淋巴瘤的见识增加了许多,越发对淋巴结的病变感兴趣了。我把切片放到了显微镜下,把物镜调到最小的20倍上,不慌不忙地把眼睛凑上去望了一眼。这一望,就让我不由地瞪大了眼睛来了精神。这是什么病变呀?这样的奇怪!
就是在20倍最小倍显微镜下,也能认出这是一个淋巴结。但是,又是一个从来没有见过的淋巴结。它有完整的被摸,这个被摸稍有增厚。被摸下的淋巴组织大部分消失了,仅在被摸下有几个半岛样分布的淋巴组织。其余广大的区域都被疏松的软组织替代。说实在的,结构并不复杂,但是我从来没有见过的。
因为不知道是什么病变,李医生和主任给的报告是一个描述性的报告:“淋巴结纤维包膜增厚,皮质区残留少量淋巴组织,大部分淋巴结淋巴组织消失,代以增生的纤维、脂肪组织及小血管,有少量浆细胞浸润。请结合临床诊断。”。

